顎関節症(Temporomandibular joint syndrome : TMJ syndrome)では、口が開かない、
口を開けると顎が痛い、顎を動かすとギシギシ・ジャリジャリといった音が鳴るなどの症状が現れます。
当院では、症状に応じて治療を行っています。
レーザー治療* (CO2レーザー照射による、温熱効果により血流促進を期待します)
マニピュレーション(徒手的円板整位術): 顎関節円板のズレ(顎関節部の変位)を矯正すべく、下顎をけん引します。
スプリントによる治療(保存治療): マウスピースのようなもので、関節部の安静(鎮静)、顎位の安定を図ります。
マイオモニター(電気刺激によって、神経を介して咀嚼筋のリラクゼーションをもたらす。)
* レーザー治療(当院では炭酸ガスレーザーを使用) →(株)吉田製作所 オペレーザLite OP-06F
口内炎、歯周病で膿んで腫れている歯肉部の切開・創傷治癒促進に有効です。
他にも、型を取る時への歯肉の整理、形成した歯質辺縁の明示など幅広く応用しています。
* PRF療法
患者様から採血した血液を遠心分離機にかけて、PRF(血小板濃縮フィブリン)を抽出します。これを、抜歯、インプラント手術、歯周外科手術後の傷口に応用すると、創傷治癒効果を高めて腫れや痛みを軽減することが出来ます。当院では、インプラント手術、歯の移植手術の際に、PRF療法を行っています。

残せる(保存できる)歯は、残す(保存する)方針ですが、残すことによって口腔内衛生状態に不利が生ずる、あるいは、他の歯に悪影響を及ぼすと考えられる歯については、抜歯をおすすめします。
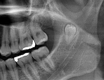
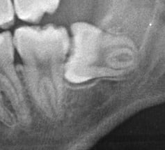
埋状歯(顎の骨または歯肉の下に埋もれて出てこない歯。)
水平埋状歯(横向きに埋もれて出てこない歯。下顎の親知らずでよく見かけます。)
過剰歯
転移歯(理想的な歯列から外れて生えている歯。矯正治療で抜歯する場合が多いです。)
残すには無理のある(保存不可能)歯




